Thoraxdiagnostik

Häufig treten Lungenerkrankungen mit Husten und Atemnot zutage - unspezifische Symptome, hinter denen sich vielfältige Krankheitsbilder verbergen können. Die Radiologische Lungendiagnostik ist der Schlüssel zur Diagnose und Therapie. Von der Lungenentzündung und Staublunge über Flüssigkeitseinlagerung bei Funktionsstörung des Herzens bis hin zum gefürchteten Lungenkrebs: Was dahinter steckt, zeigen Röntgen, CT und MRT.

Techniken der Lungen-Radiologie

1. Übersichts-Radiographie ("Röntgen-Thorax")

Die Röntgentechnik hat die Lungendiagnostik von mehr als 100 Jahre revolutioniert. Sie bot als erste Technik einen Blick hinter die Kulissen der Thoraxwand. Bis heute ist der „Röntgen-Thorax“ die radiologische Basisdiagnostik: für die Lungenentzündung, zum Nachweis einer Wassereinlagerung bei Herzfunktionsstörungen oder zum Ausschluss bösartiger Erkrankungen. In ihrer modernsten Form mit digitaler Aufnahmetechnik und computerisierter Bildnachverarbeitung kommt die Röntgendiagnostik der Lunge an allen unseren Standorten zur Anwendung.

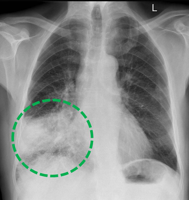
Röntgen-Thorax

Röntgenaufnahme einer Lungenentzündung
(Zum Vergrößern bitte anklicken)

2. Computertomographie ("CT")

Diese Weiterentwicklung der Röntgentechnik liefert mit ihrem rotierenden Bildaufnahmesystem dünne Schichten und dreidimensionale Darstellungen der Lunge. Während bei der einfachen Röntgenaufnahme in der Überlagerung von Herz und Rippen kleinere Tumore unerkannt bleiben können, werden sie mit der CT sicher erfasst und können exakt vermessen werden. Im hochauflösenden CT (High resolution CT = HRCT) wird die Lungenfeinstruktur Schicht für Schicht millimetergenau erkannt und analysiert - fast wie im Mikroskop. Eine Wissenschaft für sich, und auch für erfahrene Radiologen immer wieder eine Herausforderung, ist die Erkennung von Lungenerkrankungen aus dem HRCT-Muster, z.B. bei der Lungenfibrose. Unsere modernen CT-Geräte stehen hierzu an allen Standorten der Radiologie Darmstadt zur Verfügung.

Leistungsspektrum CT der Lunge

  • Pneumoniediagnostik

  • Tumordiagnostik (Staging)

  • Rundherddiagnostik incl. Rundherdvolumetrie

  • Lungengefäßdiagnostik

  • Hochauflösende CT der Lunge (HRCT): Diagnostik interstitieller Lungenerkrankungen, Diagnostik chronisch-obstruktiver Lungenerkrankungen (COPD), arbeitsmedizinische Vorsorgeuntersuchungen z.B. bei Asbestexposition

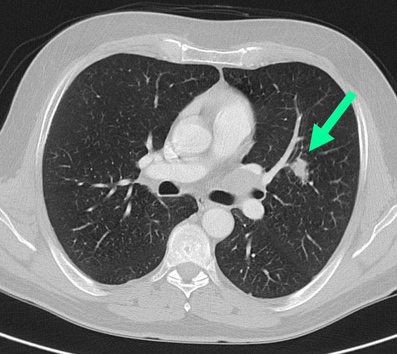
Lungenkarzinom im CT

kleines Lungenkarzinom im CT
(Zum Vergrößern bitte anklicken)

3. Magnetresonanztomografie ("MRT")

Deutlich später als CT und Röntgen hat sich die MRT in der Lungendiagnostik etabliert. Sie ist aufwändiger als andere Verfahren, bietet aber viele Vorteile – allen voran die Möglichkeit, Aufnahmen der Lunge ohne Röntgenstrahlung zu erhalten. Bei der MRT liegt der Patient in einem starken Magnetfeld, in dem die Wasserstoffatome des Körpers mit einem feinen Radiowellen-Impuls so angeregt werden, dass sie ein schwaches Signal senden. Dieses wird von den Antennen des Gerätes aufgenommen und für die Berechnung der Aufnahmen verwendet. Hierbei erscheinen wasserhaltige Anteile des Körpers (Leber, Muskeln) hell und wasserarme Anteile (auch die Lunge) dunkler. Krankhafte (pathologische) Veränderungen der Lunge mit einer Neubildung von Gewebe (Tumor) oder mit Einlagerung von Flüssigkeiten (bei einer Lungenentzündung oder bei Herzinsuffizienz) kommen hell vor dem dunklen Hintergrund des Lungengewebes zur Darstellung. Die MRT ist zudem hervorragend geeignet, die Weichteile der Thoraxwand sowie des Mediastinums zu beurteilen. In allen Fällen, in denen eine Strahlenexposition vermieden werden soll oder muss – z.B. zur Untersuchung von Kindern oder Schwangeren – bietet die MRT eine wertvolle Alternative. Die Radiologie Darmstadt bietet als erstes privates Röntgeninstitut die MRT der Lunge als Routineverfahren an. Hierzu stehen an mehreren Standorten hochmoderne MR-Tomographen bereit.

Leistungsspektrum MRT der Lunge

  • Thoraxuntersuchungen bei Kindern: Erkrankungen der Luftwege (z.B. Mukoviszidose/CF), Pneumoniediagnostik, Tumorausschluss

  • Lungen-Embolieausschluss (z.B. bei Schwangeren)

  • Lungen-Gefäßdiagnostik

Thoraxtumor im MRT

Thoraxtumor im MRT
(Zum Vergrößern bitte anklicken)

Die MRT der Lunge stellt auch eine gute Möglichkeit zur Früherkennung für besorgte Menschen der Risikogruppe dar. Ohne Strahlenexposition, mit guten Detektionsraten und ohne gegen die Röntgenverordnung zu verstoßen. Gerne beraten wir Sie hierzu individuell.

Anfragen zu thoraxradiologischen Fragestellungen bitte an:
(thorax@radiologie-darmstadt.de)

Termine (Lungen-MRT) können unter 06151 159 070 oder 06151 6063015 vereinbart werden.

Individuelle Lungen MRT Untersuchungen sind an unseren Standorten Elisabethenstift und Grafenstr. möglich.