Mamma-MRT

Die Magnet-Resonanz-Tomographie („MRT“, auch“ Kernspintomographie“ genannt) der Brust ist ein sehr genaues Verfahren (Sensitivität deutlich über 90 Prozent). Mit Hilfe der MR-Mammographie (oder Mamma-MRT) können kleine Karzinome und Tumorvorstufen nachgewiesen werden.

Bei der MR-Mammographie erfolgt die Untersuchung in einer Röhre, die ein starkes Magnetfeld erzeugt. Hier wird wie bei der Ultraschalluntersuchung keine Röntgenstrahlung eingesetzt. Während der Untersuchung wird ein Kontrastmittel in die Armvene gespritzt. Das Kontrastmittel dient dazu, eventuell vorhandene Tumore gegenüber dem normalen Brustdrüsengewebe durch deren vermehrte Durchblutung abgrenzen zu können.

Das Drüsengewebe ist auch vermehrt durchblutet, wenn der Hormonspiegel im Monatszyklus erhöht ist, und die Erkennbarkeit der bösartigen Befunde deutlich verschlechtert sein. Daher ist die Wahl des richtigen Untersuchungszeitpunktes sehr wichtig. Das Absetzen einer Hormontherapie ist aus diesem Grund notwendig. Nur in Ausnahmefällen kann auf das Absetzen der Hormontherapie verzichtet werden.

Der optimale Untersuchungszeitpunkt liegt in der zweiten Woche nach Beginn der Periode. Durch die hohe Empfindlichkeit der Methode benötigt der Arzt sehr viel Erfahrung, damit gutartige Befunde nicht als bösartig eingestuft werden.

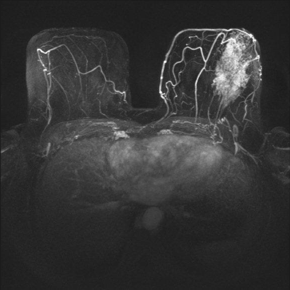
Mamma-MRT: Brusttumor Mamma-MRT: Brusttumor

Mamma-MRT: Brusttumor
(Zum Vergrößern bitte anklicken)

Gründe für MR-Mammographie

  • Bei Frauen mit einem besonders hohen familiären Brustkrebsrisiko als Früherkennung

  • Als Therapiekontrolle bei Patientinnen, die vor einer Operation mit einer Chemotherapie behandelt werden

  • Zur Unterscheidung von Narbengewebe und Tumorgewebe nach brusterhaltender Behandlung

  • Zur Bestimmung der Befundausdehnung gesicherter Mammakarzinome, zum Ausschluss einer Multizentrizität oder Multifokalität, das heißt, ob neben einem bekannten Tumorbefund noch weitere bösartige Prozesse an anderen Stellen der Brust vorhanden sind , aber auch auf der Gegenseite bei einem bereits bekannten Tumor, z. B. bei Invasiv-lobulären Karzinomen

  • Bei Verdacht auf ein bösartiges Geschehen nach Entfernung der Brust und einem Aufbau mit einem Silikonkissen

  • Auch bei Frauen, die zu einer Brustvergrößerung ein Silikonkissen in ihrer Brust haben, benötigen ein MRT für eine Beurteilung ihrer Brust

  • Zum Nachweis eines Defektes von Brustimplantaten

Durchführung der Untersuchung

Bei der Magnet-Resonanz-Tomographie wird die Patientin in einem Magnetfeld innerhalb einer Röhre untersucht. Die Untersuchung erfolgt in Bauchlage, wobei die Brust in einer speziellen Untersuchungsspule gelagert und hierbei leicht komprimiert wird. Dies ist notwendig, um Bildstörungen durch Bewegungen der Brust zu vermeiden und eine optimale Bildqualität zu erreichen. Der Druck auf die Brust ist sehr viel schwächer als bei der Mammographie.

Die Untersuchung dauert ca. 20 Minuten. Zu Beginn der Untersuchungen werden Bilder ohne Kontrastmittel und später nach Kontrastmittel aufgenommen. Die Bilder vor und nach Kontrastmittelgabe werden verglichen, um eine verdächtige Kontrastmittelaufnahme als Tumorhinweis zu erkennen.

MRT gesteuerte Biopsie

Manchmal ist ein Befund nur in der MRT-Mammographie erkennbar. In solchen Fällen wird eine Gewebsprobe mit Hilfe der Magnet-Resonanz-Tomographie durchgeführt. Dieses Verfahren ist aufwändig und bedarf sehr großer Erfahrung.

Die Untersuchung erfolgt in üblicher Bauchlagerung der Patientin mit einer speziellen Lagerungs- und Untersuchungsvorrichtung. Nach Aufspüren des abklärungsbedürftigen Befundes und lokaler Betäubung werden mehrere Proben mit einer Spezialnadel entnommen.

Unser Aufklärungsbogen MRT

Bitte drucken Sie sich unseren Aufklärungsbogen aus und bringen Sie ihn zu Ihrer Untersuchung mit.

Aufklärungsbogen MRT als PDF-Dokument

Unsere Informationsbroschüre Mamma-MRT

Sie haben einen Termin für eine Magnetresonanztomographie – kurz MRT – erhalten. Wenn es Ihre erste MRT-Untersuchung ist, möchten Sie natürlich im Voraus vieles wissen: Was erwartet mich vor, während und nach einer solchen Untersuchung?

Informationsbroschüre Mamma-MRT als PDF-Dokument

Unsere Publikation

Erfahren Sie mehr:

Die Radiologie Darmstadt bietet als einzige Praxis in Südhessen das komplette Spektrum der Brustkrebs-Diagnostik. - FRIZZ MAG | #456 | März 2021

Artikel: MR-Mammographie als PDF-Dokument