CT-Leistungsspektrum

CT des Bauchbereiches (Abdomen-CT)

  • Darm

CT erlaubt mit der sog. virtuellen Koloskopie bzw. Endoskopie die "berührungslose" Untersuchung des Dickdarms, wegen der Strahlenbelastung darf eine virtuelle Koloskopie jedoch nur mit spezieller Indikationsstellung durchgeführt werden, wenn die optische Koloskopie inkomplett war oder Besonderheiten vorliegen wie eine erhöhte Blutungsneigung (Einnahme potenter Blut-verdünnender Medikamente).
Kaum ein anderes Organ des Körpers beeinflusst unsere Gesundheit und unser Wohlbefinden so unmittelbar wie der Darm. Aufgrund seiner vielfältigen Funktionalität ist der Darm anfällig für eine Vielzahl von Krankheiten. Die bildgebende Diagnostik mit CT erlaubt sichere Aussagen über Anatomie, Funktion und Erkrankung, ohne den Patienten zu belasten.

Film: Verkalkte Bauchschlagader
(Zum Abspielen bitte anklicken)

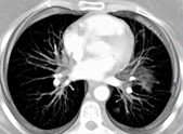
CT der Gefäße und des Herzes (CT-Angiographie, Cardio-CT)

  • Herz
  • Gefäße

CT-Angiographie ist ein spezielles Röntgen-Schnittbildverfahren zur Untersuchung und sehr exakten Lokalisierung von aterosklerotischen Veränderungen an Herz und Gefäßen.

Die CT-Angiographie (auch CTA) erlaubt die kontrastmittelverstärkte Darstellung von Gefäßen in allen Körperregionen, ohne dass ein arterielles Gefäß punktiert werden muss.
Durch die gleichzeitige Erfassung von Gefäßwand, Lumen und der Umgebung erhält man informationsdichte Bilder, die mit geeigneten Softwareverfahren zur Visualisierung (z.B. MPR, MIP und VRT) zur zwei- und dreidimensionalen Gefäßdiagnostik eingesetzt werden.
Mit unserem 256-Schichten-FLASH-CT lassen sich im Spiralmodus auch lange Gefäßstrecken, etwa in Bauch- oder Bein-Becken-Bereich in einem einzigen Untersuchungsgang erfassen.

Film: Lungenembolie
(Zum Abspielen bitte anklicken)

CT des Nervensystems (Neuroradiologie)

  • Schädel
  • Wirbelsäule

In der Neuroradiologie setzten wir die Computertomographie (CT) speziell ein zur Erstuntersuchung bei akuten Erkrankungen (Schlaganfall, Blutungen, Schädelverletzungen, Bandscheibenvorfall) und zur Nadelkontrolle bei der Entnahme von Gewebeproben (Biopsie).
Die CT-angiographische Darstellung der intrakraniellen Hirngefäße optimiert die sofortige Indikationsstellung zur Schlaganfall-Frühbehandlung mittels Lysetherapie. Diese bildgebende Methodik wird durch die Einführung der Perfusions-CT erheblich erweitert, das zusätzlich die Perfusionsverhältnisse in zirkulatorisch gestörten Hirnarealen aufzeigt.

Film: Schlaganfall
(Zum Abspielen bitte anklicken)

CT bei Krebsprävention und -erkrankung (Onkologie)

Mit der Mehrschicht-CT (MSCT) können wir durch schnelle Volumenaufnahmen mit hoher räumlicher Auflösung und geringer Dosis Tumorvorläufer bereits im Frühstadium erkennen.
Virtuelle Verfahren (etwa ein "Flug" durch den Dickdarm) machen Gewebeveränderungen sichtbar. Häufig müssen Kontrastmittel eingesetzt werden, z.B. bei Untersuchung von Leber, der Niere und der Lunge. Besonderen Einsatz erfährt die CT bei der Erfolgskontrolle therapeutischer onkologischer Eingriffe und bei der Nachsorge.

Film: Lungentumor
(Zum Abspielen bitte anklicken)

Film: Lungentumor
(Zum Abspielen bitte anklicken)

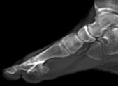
CT des Bewegungsapparates und des Skelettes (Orthopädie)

  • Knochen
  • Gelenke

Besonders hilfreich ist Computertomographie bei Knochenbrüchen. Daneben wird die CT auch in der Therapie verwendet, z.B. bei der CT-gesteuerten Schmerztherapie und bei CT-navigierten Implantationen und minimalinvasiven Operationen.

Film: Lendenwirbelsäule mit Rückenmark
(Zum Abspielen bitte anklicken)

Film: Fußskelett mit Schraube
(Zum Abspielen bitte anklicken)

Film: Lendenwirbelfraktur
(Zum Abspielen bitte anklicken)

CT des Herzes (Cardio-CT)

  • Herz

Kardio-CT ist ein spezielles Röntgen-Schnittbildverfahren zur Untersuchung und sehr exakten Lokalisierung von aterosklerotischen Veränderungen an Herz und Gefäßen.

Computertomographische Untersuchungen am Herzen erfordern aufgrund der schnellen Bewegungen und der z.T. kleinräumigen Strukturen besondere Technologien. Mit der Einführung der modernen Mehrschicht Spiral-CT (MSCT) lassen sich erstmals Herz und Herzkranzgefäße mit sehr dünnen Schichten darstellen.
Durch intravenöse Kontrastmittelgabe und Synchronisierung der MSCT-Daten mit dem gleichzeitig aufgenommenen EKG des Patienten gelingt es in der CT-Koronarangiographie, den gesamten Koronarbaum einschließlich koronarer Bypässe detailreich darzustellen.

Film: CT-Koronarangiographie in 3D-Darstellung
(Zum Abspielen bitte anklicken)

Weitere Informationen
www.cardiodiagnostik-darmstadt.de