Leistungsspektrum

Konventionelles Röntgen des Bauchbereiches (Abdomendiagnostik)

  • Darm

Radiographie (Röntgenaufnahme) und Fluoroskopie (Durchleuchtung) sind die klassischen Röntgenverfahren zur Untersuchung des Darms. Neueste Technologien bei Strahlern, Detektoren (z.B. digitale Flachdetektoren) und in der computergestützten Bildnachbereitung kommen mit geringen Strahlendosen und kurzen Untersuchungszeiten aus. Nur das Kontrastmittel können wir Ihnen noch nicht ersparen.

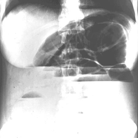
Ileus

Konventionelles Röntgen des Nervensystems (Neuroradiologie)

  • Schädel
  • Wirbelsäule

Röntgennativuntersuchungen (Radiographie, Durchleuchtung) haben mit Einführung moderner Schnittbildverfahren (CT, MRT) an Bedeutung verloren und werden bei uns nur noch zur Beurteilung primärer Knochenprozesse, knöcherner Fehlbildungen, degenerativer Veränderungen und Traumafolgen von Schädel und Wirbelsäule eingesetzt.

Film: Wirbelsäule
(Zum Abspielen bitte anklicken)

Konventionelles Röntgen des Bewegungsapparates und des Skelettes (Orthopädie)

  • Knochen
  • Gelenke
  • Muskeln
  • Sehnen

Klassische Röntgenaufnahmen (Radiographien) sind in der Orthopädie nach wie vor Diagnosehilfen der ersten Wahl.Ob ein gebrochener Arm, eine lädierte Kniescheibe oder ein Bandscheibenvorfall – das zweidimensionale Röntgenbild zeigt hier oft bereits deutlich das Ausmaß der Verletzung und gibt uns ausreichende Entscheidungshilfen für die Wahl der geeigneten Therapie.

Mit dem digitalen Röntgen können wir alle Untersuchungen sofort in ihrer Qualität bewerten und so Aufnahmewiederholungen vermeiden. Zusätzliche computergestützte Auswerte-, Mess- und Darstellungsverfahren helfen uns bei der Diagnose. Alle Aufnahmen erhalten Sie selbstverständlich als Filme oder als digitale Bilder auf CD für Ihren überweisenden Arzt.