MRT-Leistungsspektrum

MRT des Bauchbereichs (Abdomendisgnostik)

  • Niere
  • Leber
  • Dünndarm
  • Gallengänge

Zur Untersuchung der Leber gibt es eine Vielzahl von Untersuchungsmethoden z.B. MRT (aber auch Ultraschall und CT). Aufgrund der in der Leber enthaltenen Strukturen und ihres unterschiedlichen Gehalts an Wasser, Fett, Zellen, Bindegewebe und Blut - also wasserstoffhaltigen Weichgewebsanteilen - ist die MRT hier die Diagnosemethode der Wahl.
Durch Kontrastmittel können morphologische Veränderungen, Durchblutung (Perfusion) und Leberfunktion eindrucksvoll dargestellt und sicher bewertet werden.

Lebertumor

Nierentumor

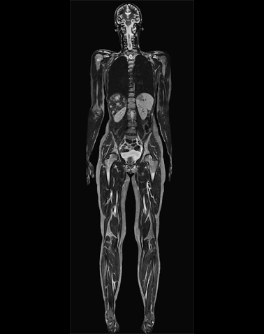
MRT der Gefäße (MR-Angiografie)

  • Gefäße

Dieses moderne bildgebende Verfahren ermöglicht umfassende und diagnostisch wichtige Aussagen über die arteriellen Gefäße. Untersucht werden vor allem die Becken-Bein-Gefäße, die Bauchgefäße und die Gefäße im Hals- und Kopfbereich. Nach Injektion eines nicht-jodhaltigen Kontrastmittels kann dessen Weg durch die jetzt stark kontrastierten Adern verfolgt und zwei- und dreidimensional dargestellt werden. Dank moderner MRT-Spulentechniken können auch lange Gefäße mit einer einzigen Aufnahme erfasst werden.

Becken- und Beingefäße

Ganzkörper-Angiografie

Nierenaterien

Film: Hirnversorgende Gefäße
(Zum Abspielen bitte anklicken)

MRT zur Diagnostik der weiblichen Brust (Mammadiagnostik, Mamma-MRT)

  • Brust

Eine Kernspintomographie der Brust wird eingesetzt, wenn die Tastuntersuchung, Mammographie, Sonographie oder eine Biopsie keinen eindeutigen Befund ergeben haben und man mit Hilfe einer weitere Untersuchung Brustkrebs auszuschließen will.

Kernspintomographie (MRT, Magnetresonanztomographie): Die Mamma-MRT, ein Untersuchungsverfahren, das im Gegensatz zur Röntgentechnik mit Magnetfeldern arbeitet, findet bei uns in der Brustkrebsdiagnostik ebenfalls Anwendung. Es ist in der Regel dann erforderlich, wenn die vorhergehende Untersuchung per Mammographie oder Sonographie keinen klaren Befund ergeben hat.

Brusttumor 1

Brusttumor 2

MRT des Nervensystems (Neuroradiologie)

  • Schädel
  • Wirbelsäule

Aufgrund der guten Gewebedifferenzierung verwenden wir die Kernspintomographie (MRT) in der Neuroradiologie zur Untersuchung von Gehirn, Gesicht und Augen sowie von Wirbelsäule und Rückenmark. Schlaganfälle lassen sich postakut minutenschnell lokalisieren und auf ihre Ursache hin untersuchen. Winzige Tumoren, Hirnabbauprozesse, Gefäßmissbildungen, Enzephalitiden (Gehirnentzündungen), Anfallsursachen (Epilepsie) oder Unfallfolgeschäden können gut differenziert werden.

Da die Magnetresonanz nicht nur Schnittbilder (Tomographien), sondern auch Spektren (Energieverteilungen) liefert, lassen sich mit der MR-Spektroskopie Stoffwechselprodukte im Gehirn lokalisieren und mengenmäßig erfassen und somit auch Gehirnaktivitäten qualitativ und quantitativ nachweisen.

Schlaganfall 1

Schlaganfall 2

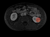
MRT bei Krebserkrankungen (Onkologie)

Die Magnetresonanztomographie (MRT) nimmt bei der Diagnose, dem Staging und der Verlaufskontrolle von onkologischen Erkrankungen einen wichtigen Platz ein.

Auf makroskopischer Ebene lassen sich mit MRT genaue morphologische Informationen (Größe, Form) sowie die Lage der meisten Weichteiltumoren bestimmen. Morphologie und Lage des den Tumor umgebenden, nichtbefallenen Weichteilgewebes sind von lebenswichtiger Bedeutung und bestimmen das Vorgehen bei einer nachfolgenden Strahlentherapie.

Lungentumor 1

Lungentumor 2

Leber- und Knochenmetastasen
bei Brustkrebs

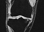
MRT des Bewegungsapparat und des Skelettes (Orthopädie)

  • Knochen
  • Gelenke
  • Muskeln
  • Sehnen
  • Direkte MR-Arthrografie

Wir setzen die Magnetresonanztomographie bevorzugt ein bei der Untersuchung von Kindern, bei okkulten Frakturen, ossärer Tumorinfiltration, bei Muskel-, Knorpel- und Bänderverletzungen, in der Gelenk- und der rheumatologischen Diagnostik.

Die Magnetresonanztomographie bietet bei der Untersuchung von funktional differenzierbaren Erkrankungen oder röntgenindifferenten Strukturen Vorteile.

Film: Wirbelsäule
(Zum Abspielen bitte anklicken)

Film: Flüssigkeitsablagerung
im Knie
(Zum Abspielen bitte anklicken)

Film: Kniegelenksathrose
(Zum Abspielen bitte anklicken)

MRT des Darms und Beckenbodens (MRT-Defäkographie)

  • Abklärung einer analen Inkontinenz (Stuhlhalteschwäche)

  • Abklärung von Defäkationsstörungen (Stuhlentleerungsstörungen)

  • Abklärung von Beckenbodeninsuffizienz

  • Abklärung einer chronischen Obstipation (Verstopfung) mit Verdacht auf eine Auslassobstruktion

Die Defäkographie ist die Analyse der Darmentleerung und des Beckenbodens beim liegenden Patienten mittels MRT. Dabei wird sichtbar, wie der Beckenboden im Ruhezustand, bei Muskelkontraktion und beim Pressen funktioniert. Auch sieht man, ob der Stuhlgang den "normalen" Weg nimmt oder durch sonstige Hindernisse aufgehalten wird.

Siehe auch SPEZIALVERFAHREN > MRT-Defäkographie

Film: MRT Defäktografie
(Zum Abspielen bitte anklicken)

MRT des Herzens (Cardio-MRT)

MRT der Prostata (Magnetresonanz-Spektroskopie)