Ultraschall-Leistungsspektrum

Ultraschall des Bauchbereiches (Abdomen-Ultraschall)

  • Gallengänge

Bei der Untersuchung der Galle, z.B. bei Verdacht auf Gallensteine, führen wir als erstes stets eine Ultraschalluntersuchung durch. Gallensteine, Grieß (kleinste Steine) und Schlamm (Sludge = stark eingedickte Gallenflüssigkeit) sind hier als Schatten erkennbar.
Aufgestaute erweiterte Gallenwege und eine Veränderung der Gallenblasenwand zeichnen sich ab. Die Untersuchung ist schnell, ungefährlich und belastet nicht.

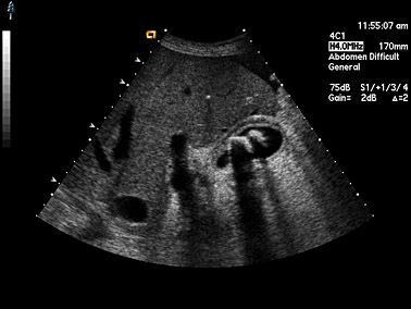
Gallenblasenstein 1
(Zum Vergrößern bitte anklicken)

Gallenblasenstein 2
(Zum Vergrößern bitte anklicken)

Ultraschall zur Brustkrebsvorsorge (Mammadiagnostik)

  • Brust

Als ergänzendes bildgebendes Verfahren kann die Ultraschalluntersuchung (Sonographie) zur Brustkrebs-Früherkennung bzw. zur Beurteilung von Knoten in der Brust eingesetzt werden.

Auch Sonographie macht innere Organe und Gefäße sichtbar. Hat bei einer Patientin die Mammographie keine eindeutige Diagnose ergeben, kann die Ultraschalluntersuchung der Brust zur Hilfe genommen werden. Dieses Untersuchungsverfahren hat den Vorteil, dass es beliebig oft wiederholt werden kann, da die Patientin keiner Strahlenbelastung ausgesetzt wird.

Film: Mammazyste
(Zum Abspielen bitte anklicken)